Revolucioná tu Servicio de Imágenes con
Visualizá, informá y entregá estudios desde cualquier lugar, con Inteligencia Artificial y sin complicaciones.
Beneficios claves para tu Servicio de Imágenes:
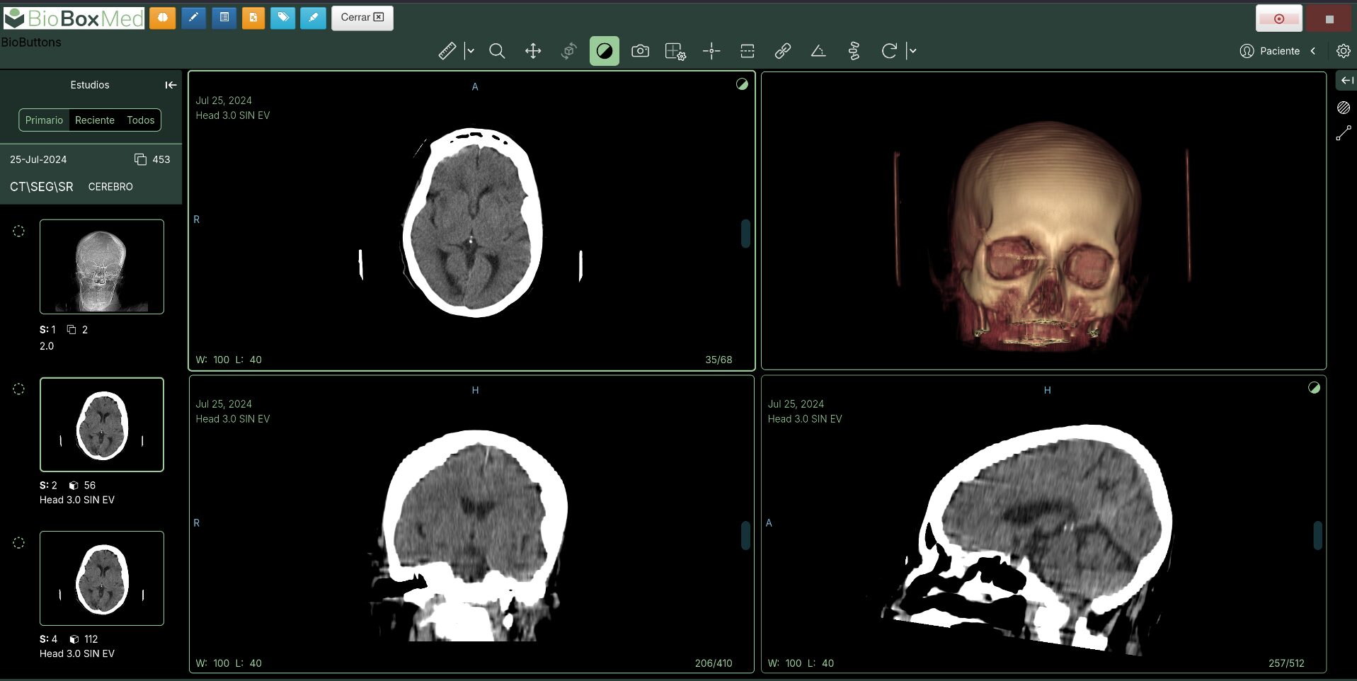
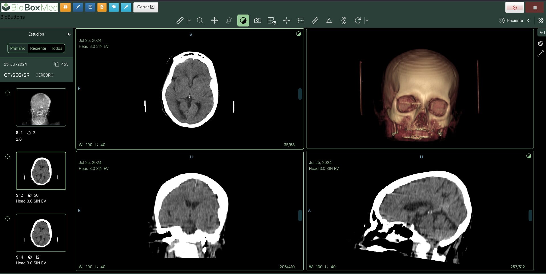
Acceso web total:
Visualizá y gestioná tus estudios desde cualquier dispositivo con visualizadores web de última generación, sin instalar software adicional.
Interoperabilidad total:
Conectá y sincronizá tus estudios de BioBoxMed con Integrando Salud, integrando imágenes e informes sin interrupciones en tu flujo de trabajo.
Informes asistidos por IA:
Generá informes estructurados con plantillas clínicas y accedé a diagnóstico asistido por Inteligencia Artificial para optimizar tu tiempo y precisión.
Entrega digital segura:
Enviá estudios e informes directamente a tus pacientes por WhatsApp, email o código QR, mejorando su experiencia sin esfuerzo extra de tu parte.
Personalización:
Configurá la integración según las necesidades de tu centro. Nos adaptamos a tu forma de trabajar, sin importar el tamaño o complejidad de tu servicio.
Soporte 24/7:
Accedé a soporte técnico especializado, disponible los 7 días de la semana, para acompañarte en todo momento.


Si ya usás Integrando Salud, ahora podés acceder a BioBoxMed con Smart PACS por un precio preferencial y tecnología de Inteligencia Artificial lista para asistirte en cada diagnóstico.
¿Querés conocer cómo funciona?
Nuestro equipo comercial está listo para ayudarte a transformar tu práctica.